精密根管治療症例
一般的な治療実績
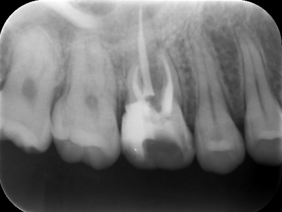
Case1
前歯の歯茎が腫れたケース
治療前 | 治療後 |
---|---|
![]() |
![]() |
主訴 |
前歯の歯茎が腫れる |
---|---|
治療期間 |
4週間 |
治療費 |
精密根管治療(前歯・自費)¥110,000×4本 メタル・コア メタル・セラミックス¥132,000×4本 合計¥1,100,000 |
治療内容について |
根管治療は、建築に例えると、基礎工事の部分にあたります。根管治療が不十分な状態では、いくらその上にきれいな被せ物を入れても、中から腐って歯根の先に膿を持ってしまいます(→)。健康保険では、治療の質は問われません。本当に良い根管治療をお受けになるために、自費での治療をお勧め致します。 |
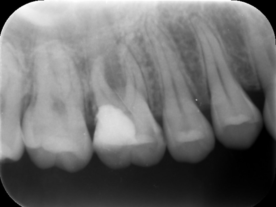
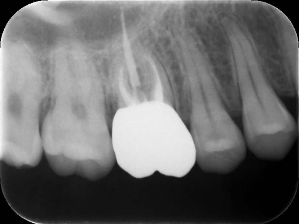
Case2
他院で治療後再発したケース
治療前 | 治療後 |
---|---|
![]() |
![]() |
主訴 |
虫歯をきれいに治したい |
---|---|
治療期間 |
1回(根管治療のみ) |
治療費 |
精密根管治療(前歯・自費)¥110,000×4本 |
治療内容について |
虫歯による審美障害のため、前歯4本をオールセラミック・クラウンで治療をすることになったケースです。 3本はすでに神経の治療(根管治療)がしてありましたが、お薬が歯根の先端までしっかりと詰まっていなかったため、再治療をしました(自費)。 治療後には、先端までしっかりと薬が詰まっているのが分かります。 これで、安心してセラミッククラウンを被せることが出来ます。 |
Case3
被せ物が破折・脱落したケース
治療前 | 治療後 |
---|---|
![]() |
![]() |
主訴 |
被せ物が外れた |
---|---|
治療期間 |
1回(根管治療のみ) |
治療費 |
精密根管治療(前歯・自費)¥110,000×2 |
治療内容について |
前歯2本の被せ物が破折・脱落しため、セラミッククラウンで治療することになりました。 根管治療が不良でしたので、虫歯や腐敗した歯質を完全に取り除いて消毒をし、歯根の先端までしっかりとお薬を詰めました。 歯の治療、特に根管治療は何度もやり直しが効かない治療です。ですから、初めの治療がとても大事になります。 |
Case4
薬が根尖に届かず再発のケース
図1、術前レントゲン | 図2、 根管充填後レントゲン |
---|---|
![]() |
![]() |
図1、根管治療が不十分で白い薬が根尖(歯根の先端)まで届いておらず、根尖部に歯槽骨の吸収による黒いレントゲン透過像を認める。我が国の保険の根管治療はこのような例が非常に多いです。
図2、根尖部まで隙間なく緊密に薬が詰まっているのが分かる。正しく根管治療を行えば、溶けて吸収した歯槽骨は数か月程度で再生してきます。
治療費 | 精密根管治療¥110,000 |
---|---|
治療期間 | 2週間 |
リスク | 根管治療をした歯は脆くなっているため、破折やひび割れのリスクがあります。治療後は正しくメンテナンスをしないと虫歯が再発することがあります。 |
Case5
歯髄壊死による切歯変色のケース
図1、初診時 | 図2、術前レントゲン |
---|---|
![]() |
![]() |
図1、右側上顎中切歯(向かって左)の変色を主訴に来院。大きなコンポジットレジン(プラスチック)が詰めてあることから歯髄壊死を疑います。
図2、歯と歯の間にコンポジットレジンによる大きな虫歯治療がしてある。根尖部に骨吸収による黒いレントゲン透過像を認めたことから、歯髄壊死による慢性根尖性歯周炎(根尖病巣)と診断しました。
図3、ファイル挿入 | 図4、根管充填後 |
---|---|
![]() |
![]() |
図3、根管の中にファイルを挿入し、歯根の長さと方向を確認します。
図4、歯根の先端まで白い薬がしっかりと詰まっているのが分かります。
図5、術後 |
---|
![]() |
図5、根管治療後、ファイバーコアで補強し、オールセラミッククラウンにて修復した。自然な仕上がりになっているのが分かります。
治療費 | 精密根管治療¥110,000 ファイバーコア¥22,000 オールセラミッククラウン¥132,000 |
---|---|
治療期間 | 1か月 |
リスク | 根管治療をした歯は脆くなっているため、破折やひび割れのリスクがあります。治療後は正しくメンテナンスをしないと虫歯が再発することがあります。 |
Case6
正しい治療で根尖病巣が治癒したケース
図1、初診時 | 図2、ファイル挿入 |
---|---|
![]() |
![]() |
図1、根管治療がしてあるものの、白い薬が歯根の途中までしか入っておらず、根尖部(歯根の先端)には根尖病巣による黒しレントゲン透過像を認めます。
図2、根管内にファイルを挿入し、歯根の長さと方向を確認します。
図3、根管充填後 | 図4、治療6か月後 |
---|---|
![]() |
![]() |
図3、根尖まで薬がしっかりとはいいているのが分かります。
図4、根尖病巣が治癒して骨が再生し、根尖部のレントゲン透過像は消失している。正しい根管治療を行えば、根尖病巣のほとんどは治癒します。
治療費 | 精密根管治療¥110,000 |
---|---|
治療期間 | 1か月 |
リスク | 根管治療をした歯は脆くなっているため、破折やひび割れのリスクがあります。治療後は正しくメンテナンスをしないと虫歯が再発することがあります。 |
Case7
大きな根尖病巣を
しっかり治療したケース
図1、初診時 | 図2、 初診時レントゲン |
---|---|
![]() |
![]() |
図1、根尖病巣によるフィステル(瘻孔;ろうこう)を認めます(矢印)。
図2、尖部(歯根の先端)に根尖病巣による黒く大きなレントゲン透過像を認めます。
図3、根管充填後 | 図4、根尖病巣 |
---|---|
![]() |
![]() |
図3、大きな根尖病巣であっても、まずはきとんとした根管治療を行い予後を見ていきます。
図4、根管治療では治癒しない難治性の根尖病巣は、外科的歯内療法の適応となる。歯根の先端が骨から露出しているのが分かります(矢印)。
図5、歯根嚢胞 |
---|
![]() ![]() |
図5、外科的歯内療法により摘出した歯根嚢胞。
治療費 | 精密根管治療¥110,000 歯根端切除¥88,000 |
---|---|
治療期間 | 1か月 |
リスク | 根管治療をした歯は脆くなっているため、破折やひび割れのリスクがあります。治療後は正しくメンテナンスをしないと虫歯が再発することがあります。 |
Case8
大きな根尖病巣を
しっかり治療したケース
図1、 初診時レントゲン |
図2、初診時CT像 |
---|---|
![]() |
![]() |
図1、上顎前歯部の痛みと歯茎の腫れを主訴に来院。根尖部に大きな黒いレントゲン透過像を認める(矢印)。
図2、根尖部は母指頭大の大きな骨吸収像を認める(矢印)。虫歯に継発した歯髄壊死と診断し、精密根管治療を行うこととした。
図3、ファイル挿入 | 図4、 根管充填後6か月 |
---|---|
![]() |
![]() |
図3、根管の中にファイルを挿入し、長さと方向を確認する。
図4、根尖部のレントゲン透過像は縮小し(矢印)、根尖病巣は治癒してきているのが分かる。
図5、治療後CT像 |
---|
![]() ![]() |
図5、根尖部のレントゲン透過像は縮小し(矢印)、根尖病巣は治癒してきているのが分かる。
治療費 | 精密根管治療¥110,000 |
---|---|
治療期間 | 3か月 |
リスク | 根管治療をした歯は脆くなっているため、破折やひび割れのリスクがあります。治療後は正しくメンテナンスをしないと虫歯が再発することがあります。 |
ハイレベルな
精密根管治療実績
Case1
ファイル破折片の除去をしたケース
診断と治療計画の立案
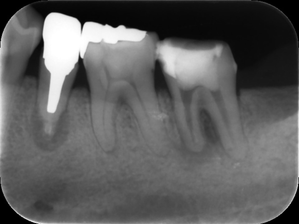
当該の左下7番の奥歯はクラウンで被せてありましたが、頬側に歯茎の腫れ(フィステル、サイナストラクト)を認めました。レントゲンおよびCTによる診査を行ったところ、すでに根管治療が施してあるものの根管充填が不十分で、根尖病変を生じていました(下写真)。また、歯根の先端部分にはファイルと思われる器具の破折片を認めました(矢印)。根管内部へのバクテリアの感染による慢性化膿性根尖性歯周炎と診断し、再根管治療をおこなうことにしました。
基本的に、破折しているファイルそのものはバクテリアの感染源にはなりません。しかしながら、ファイルが残存していると根管内の清掃・消毒を根尖まで完全に行えず、根尖病変が治癒する確率は低くなります。可及的に破折したファイルの除去を試み、根管内を完全に清掃・消毒して無菌化を図りたいところです。
治療前レントゲン | 治療前CT |
---|---|
治療前レントゲン |
---|
治療前CT |
---|
治療前のレントゲンおよびCT画像です。当該歯はすでに根管治療が施してあり、根尖部には根尖病変によるX線透過像を認めます。
また、根尖部にはファイルと思われる器具の残存を認めます(矢印)。
再根管治療
局所麻酔を十分に行った後、クラウンとコアを外し、完全に虫歯を取り除きます。歯冠がほとんど残らないため、根管内への唾液の侵入を防ぎ消毒薬を密封するために隔壁を作ります。
ラバーダムを行った上で根管内の古いガッタパーチャを完全に除去し、徹底的に清掃・消毒をしていきます。
術後の消炎を図るため、抗生物質と鎮痛剤を処方しました。
ガッタパーチャを除去したところです。CT画像にて根尖部に破折しているファイルが残っているのが確認できます(矢印)。
ファイル破折片の除去
マイクロスコープ視野下において、ファイル除去用の専用機器を用い残存しているファイルの周囲の歯質を超音波振動で少しずつ慎重に削除していきます。ファイルが緩むまで超音波で歯質を削除したあと、根管内に薬剤を満たし破折したファイルを除去します。ケースによってニッケルチタンファイルやループデバイスを使い分けます(下写真)。
破折したファイルを除去するには、専用の機材と熟練した技術が必要であり、特別なトレーニングを行うことが不可欠です。
レントゲン画像上で破折したファイルが無くなっていることを確認しました。除去した長さ2mmほどのファイル破折片です。ファイルが除去できたことによって、根管内を完全に清掃・消毒を行うことが可能となります。
根管充填
破折していたファイルを除去し、根尖部まで完全に根管内を清掃・消毒をして無菌化することで、歯茎の腫れはきれいに消失しました。症状が無く、マイクロスコープで根管内がきれいになっていることを確認し、根管充填を行いました(下写真)。
根管充填では、ペースト状のバイオセラミックシーラーとゴム状のガッタパーチャを用い、根尖まで隙間なくしっかりとお薬を詰めます。
根管充填後のレントゲンおよびCT画像です。根尖までしっかりとお薬が詰まっていることが確認できます。
主訴 |
以前、別の歯科で治療した左下の奥歯の歯茎が腫れた |
---|---|
年齢・性別 |
47歳 女性 |
治療期間 |
2か月 |
治療費 |
再根管治療 |
治療の |
根管治療において、一時的に痛みや歯茎の腫れを生じることがあります。破折しているファイルが除去出来ないケースも少なくありません。根管治療を行っても治癒しない場合は、外科的歯内療法、意図的再植もしくは抜歯の適応になります。 |
Case2 パーフォレーション(穿孔)
のリペアを行ったケース
診断と治療計画の立案
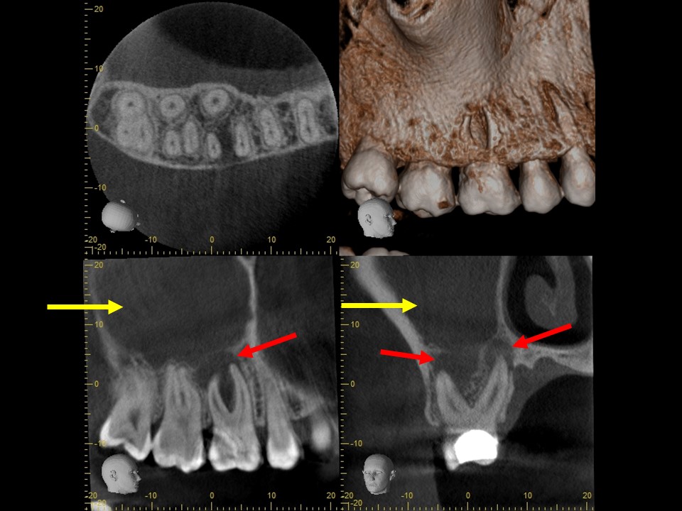
当該歯のレントゲンおよびCTによる診査にて、根尖部に根尖病巣と思われるX線透過像を認めました。また、歯根の側方には歯の方向を間違えて削った跡があり、パーフォレーション(穿孔、穴)が疑われました(下写真)。
歯髄壊死・歯髄壊疽から生じた慢性化膿性根尖性歯周炎と診断し、感染根管治療を行うことにしました。
パーフォレーションがある場合は、バイオセラミックセメント(MTA,RRMなど)でリペアをする計画としました。
治療前レントゲン | 治療前CT |
---|---|
![]() |
治療前レントゲン |
---|
治療前CT |
---|
![]() |
術前のレントゲンおよびCT画像です。根尖部に根尖病変と思われるX線透過像を認めます(黄矢印)。歯根の側方には、方向を間違えて削ったと思われる跡が見られます。
感染根管治療
局所麻酔を十分に行った後、唾液を排除するためにラバーダムを行い、マイクロスコープで内部を慎重に確認していきました。やはり歯根の側方にパーフォレーションを認めましたが、幸いにも歯槽骨の破壊はほとんどなく、リペアすることで歯の保存が可能と判断し、根管治療を進めることにしました。
虫歯が深くなったり、加齢によって根管が狭窄すると、根管の入り口が分かりにくくなり、パーフォレーションを起こすリスクが高まります。
マイクロスコープ視野下で、CT画像の情報を元に慎重に根管の入り口を探した結果、無事に根尖までファイルを到達することが出来ました。
根管内を完全に清掃・消毒をし、消炎を図ります。
根管充填および歯冠修復処置
症状が無くなり、マイクロスコープで根管内部がきれいになったことを確認できたため、根管充填を行いました。
バイオセラミックシーラーとガッタパーチャにてパーフォレーションの真下まで隙間なくお薬を詰めました。パーフォレーション部から上方はバイオセラミックセメント(RRM)を充填してリペアを行い、根管治療が終了しました(下写真)。根管治療後は、コンポジットレジンによるダイレクトボンディングにて歯冠修復処置を行いました。
根管充填後のレントゲン画像です。パーフォレーション部にバイオセラミックセメントが充填されているのが分かります(赤矢印)。
予後確認
定期検診時、適宜レントゲンやCTにて根尖病変の治癒の程度を確認します。(下写真)
根管治療7か月後のレントゲン画像です。根尖病変はきれいに治癒し、骨の再生を認めます(黄矢印)。パーフォレーション部も骨吸収は認めず、予後は非常に良好です。
主訴 |
下の前歯に痛みがあったので、別の歯科で神経を残して詰め物の治療をしてもらった。 |
---|---|
年齢・性別 |
52歳 女性 |
治療期間 |
2か月 |
治療費 |
再根管治療 |
治療の |
根管治療において、一時的に痛みや歯茎の腫れを生じることがあります。パーフォレーション部の感染が重篤な場合や大きなパーフォレーションがある場合は、基本的に抜歯の適応になります。 |
Case3 歯性上顎洞炎のケース
診断と治療計画の立案
右上の6番の大臼歯に、大きなコンポジットレジン充填がしてありました。レントゲンおよびCT診査を行ったところ、歯髄に達する大きな充填の跡が見られ、根尖部の骨はすでに大きく溶けて吸収しており、炎症は副鼻腔に達していました(下写真)。レントゲンおよびCT画像から、虫歯治療後の歯髄壊死・壊疽から生じた慢性化膿性根尖性歯周炎と診断しました。また、根尖病変に起因する歯性上顎洞を併発していると診断しました。
症状にもよりますが、歯性上顎洞炎の治療は基本的には歯の治療を優先します。
まず、根管治療を行って根尖病変の消炎を図りつつ、同時に耳鼻科での抗生物質の少量長期投与を並行して行っていくことにしました。根尖病変が大きく、上顎洞炎を併発しているようなケースでは、根管治療後3か月ほど治癒の経過をみて歯冠修復処置を検討していきます。
治療前レントゲン | 治療前CT |
---|---|
治療前レントゲン |
---|
治療前CT |
---|
治療前のレントゲンおよびCT画像です。右上6番には歯髄に達する大きなコンポジットレジン充填がされています。
根尖部の骨は黒く大きく溶け(赤矢印)、ほぼ上顎洞と交通しています。
上顎洞内部は上方までX線不透過性が亢進し(白くなっています)、典型的な上顎洞炎の像を呈しています(黄矢印)。
感染根管治療
局所麻酔を十分に行った後、コンポジットレジンを外し、虫歯を完全に取り除きます。
歯質の崩壊が大きいため、隔壁を作成しラバーダム防湿の準備を行います。
マイクロスコープを使用し、根管内部が完全にきれいになるまで清掃・消毒を徹底的に行っていきます。
上顎大臼歯の根管治療では、特に近心頬側第二根管(MB2)の見落としが多く、根尖病変の再発や予後不良の原因になることが多いです。
当該歯においても、CTとマイクロスコープを駆使し丹念に探索を行った結果MB2を確認し、4本の根管を根尖まで完全に清掃・消毒を行いました。
根管充填
症状が消失し、根管内に排膿や汚れが無くきれいになっていることを確認できたため、バイオセラミックシーラーとガッタパーチャにて根管充填を行いました(下写真)。
通常、症状や大きな根尖病巣、歯性上顎洞炎などが無ければこのまま歯冠修復処置を行いますが、このケースは炎症の広がりが大きいため3か月ほど経過観察を行うことにしました。
根管充填後のレントゲン画像です。根尖部までしっかりとお薬が詰まっているのが分かります。根尖病変および歯性上顎洞炎の予後を確認するため3か月ほど経過観察を行います。
予後確認・歯冠修復処置
根管充填3か月後のCT画像にて、根尖病変および歯性上顎洞炎の予後を確認しました。根尖病変は顕著に縮小して骨の再生が見られ、上顎洞炎はほぼ治癒していました(下写真)。
術前の症状もまったく無くなったので、ファイバーコアおよびオールセラミッククラウンにて歯冠修復処置を行いました。
根管治療14か月後のレントゲン及びCT画像では、根尖部のX線透過像および上顎洞内の不透過像は完全に消失しているのが分かります(下写真)。根尖部の骨の再生と上顎洞の正常化が認められ、根尖病変ならびに歯性上顎洞炎は完全に治癒しました。
根管充填3か月後のCT画像です。根尖病巣は顕著に縮小しており、骨の再生を認めます(赤矢印)。上顎洞の炎症も消退し、ほぼ正常像を呈していることが分かります(黄矢印)。病状が治癒傾向を認めるため、歯冠修復処置を行っていきます。
根管治療14か月後のレントゲンおよびCT画像です。術前にあった根尖部のX線透過像(赤矢印)ならびに上顎洞内のX線不透過性の亢進(黄矢印)は完全に消失し、根尖病変および歯性上顎洞炎は良好に治癒しているのが確認できます。
主訴 |
・右上の奥歯が噛むと痛い |
---|---|
年齢・性別 |
29歳 女性 |
治療期間 |
6か月 |
治療費 |
再根管治療 |
治療の |
根管治療において、一時的に痛みや歯茎の腫れを生じることがあります。歯性上顎洞炎は歯科治療だけでは治癒しないケースもあり、耳鼻科との連携診療が必要な場合があります。また歯科および耳鼻科での加療にもかかわらず治癒しない歯性上顎洞炎の原因歯は、抜歯が適応になります。 |
-
Tooth de
虫歯治療
進行レベルごとの
適確な治療虫歯
-
Perio
歯周病治療
大切な歯を
抜かずに残す治療歯周病
-
Occlusion
噛み合わせ
それぞれの
正しい噛み合わせを噛み合わせ
-
Cleaning
予防歯科
細やかな
ブラッシング指導予防歯科
-
Denture
義歯
毎日の食事を
楽しく美味しく義歯
-
Orthodontic
矯正歯科
見た目もキレイに
健康な歯へ矯正歯科
-
Gallery
審美歯科
患者様の納得いく
仕上がりに審美歯科
-
Wisdom Tooth
親知らず
痛みに配慮した
親知らずの抜歯親知らず
-
End
精密根管治療
自分の歯を
抜かずに残す精密根管治療
-
Implant
インプラント
自然な噛み心地を
体感できるインプラント